Gezondheid & Fitness

Hoeveel Liter Water Heeft Een Mens Hoeveel Liter Water Heeft Een Mens Nodig Per Dag?

Hoeveel liter water heeft een mens dagelijks echt nodig? Lees alles over het aanbevolen aantal liters water per mens en praktische tips voor voldoende hydratatie.

Video : Hoeveel Liter Water Heeft Een Mens Bekijk meer

Hoeveel Liter Bloed Heeft Een Kind Hoeveel Liter Bloed Heeft Een Kind Gemiddeld?

Hoeveel liter bloed heeft een kind? Een gemiddeld kind heeft per kilo lichaamsgewicht ongeveer 75 tot 100 ml bloed in het lichaam.

Video : Hoeveel Liter Bloed Heeft Een Kind Bekijk meer

Hoeveel Bloed Doneer Je Hoeveel Bloed Doneer Je: Het Standaard Volume Per Donatie

Hoeveel bloed doneer je bij een donatie? Het standaard volume is circa 500 ml per keer, veilig voor je gezondheid en essentieel voor de zorg.

Video : Hoeveel Bloed Doneer Je Bekijk meer

Hoeveel Liter Bloed Heeft Een Kind Van 8 Jaar Hoeveel Liter Bloed Heeft Een Kind Van 8 Jaar Gemiddeld?

Hoeveel liter bloed heeft een kind van 8 jaar? Lees het gemiddelde bloedvolume en de vuistregels voor de berekening van bloed bij kinderen.

Video : Hoeveel Liter Bloed Heeft Een Kind Van 8 Jaar Bekijk meer

Actieve Date Ideeën Actieve Date Ideeën Voor Een Gezonde En Leuke Tijd Samen

Actieve date ideeën brengen plezier en beweging samen voor koppels die gezondheid en verbondenheid waarderen.

Video : Actieve Date Ideeën Bekijk meer

Babyzwemmen Rotterdam Babyzwemmen Rotterdam: Leuk En Veilig Voor Je Kleintje

Babyzwemmen Rotterdam is een fijne manier om samen met je baby het water te verkennen en de motoriek te stimuleren.

Video : Babyzwemmen Rotterdam Bekijk meer

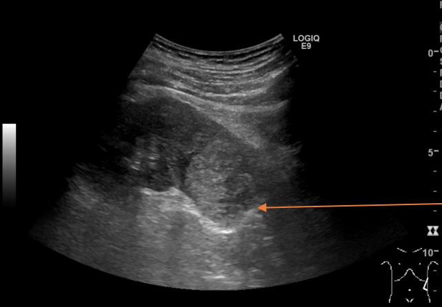
Renal Cell Carcinoma Ultrasound Images Renal Cell Carcinoma Ultrasound Images Van Hoge Kwaliteit

Gedetailleerde renal cell carcinoma ultrasound images tonen tumorkarakteristieken voor nauwkeurige diagnose en evaluatie van nierkanker.

Video : Renal Cell Carcinoma Ultrasound Images Bekijk meer

Renal Cell Carcinoma Radiopedia Renal Cell Carcinoma Radiopedia: Beeldvorming En Kenmerken

Renal cell carcinoma radiopedia behandelt beeldvorming, diagnostiek en kenmerken van deze nierkanker met focus op radiologische aspecten.

Video : Renal Cell Carcinoma Radiopedia Bekijk meer

Renal Metastasis Radiopaedia Renal Metastasis Radiopaedia: Beeldvorming En Diagnostiek

Renal metastasis radiopaedia verwijst naar de rol van beeldvorming bij de evaluatie en diagnose van niermetastasen in de medische praktijk.

Video : Renal Metastasis Radiopaedia Bekijk meer

Renal Cell Carcinoma Radiology Case Renal Cell Carcinoma Radiology Case Kenmerken

In dit renal cell carcinoma radiology case worden de beeldvorming en typische kenmerken van deze nierkanker duidelijk beschreven.

Video : Renal Cell Carcinoma Radiology Case Bekijk meer

RCC Staging Radiology Essentiële RCC Staging Radiology Technieken

RCC staging Radiology helpt bij nauwkeurige beoordeling van niercelcarcinoom voor betere prognose en behandeling.

Video : RCC Staging Radiology Bekijk meer

Clear Cell Renal Cell Carcinoma Radiology Clear Cell Renal Cell Carcinoma Radiology: Beeldvorming En Diagnose

Clear cell renal cell carcinoma radiology richt zich op de radiologische kenmerken, MRI en CT voor een nauwkeurige diagnose van niercelcarcinoom.

Video : Clear Cell Renal Cell Carcinoma Radiology Bekijk meer

Renal Mass Radiology Renal Mass Radiology: Diagnostiek Van Niertumoren

Renal mass Radiology helpt bij het opsporen en beoordelen van niertumoren. Vroege diagnose is essentieel voor een optimale behandeling.

Video : Renal Mass Radiology Bekijk meer

Bellini Duct Carcinoma Radiology Bellini Duct Carcinoma Radiology: Belangrijkste Radiologische Kenmerken

Bellini duct carcinoma radiology helpt bij het herkennen van deze zeldzame en agressieve niertumor via typische beeldvormingskenmerken.

Video : Bellini Duct Carcinoma Radiology Bekijk meer

Blaasontsteking Kruidvat Blaasontsteking Kruidvat: Informatie

Blaasontsteking behandelen met producten van Kruidvat. Krijg tips en advies over hoe je een blaasontsteking kunt bestrijden.

Video : Blaasontsteking Kruidvat Bekijk meer

Antibiotica Blaasontsteking Antibiotica Blaasontsteking: Werking En Aandachtspunten

Antibiotica blaasontsteking wordt vaak voorgeschreven om een infectie te behandelen, maar verstandig gebruik is belangrijk om resistentie te voorkomen.

Video : Antibiotica Blaasontsteking Bekijk meer